What's Inside your Brain
Tom Goddard
July 25, 2013
What do we see inside a human brain?
Can we figure out how the brain works?
|
|
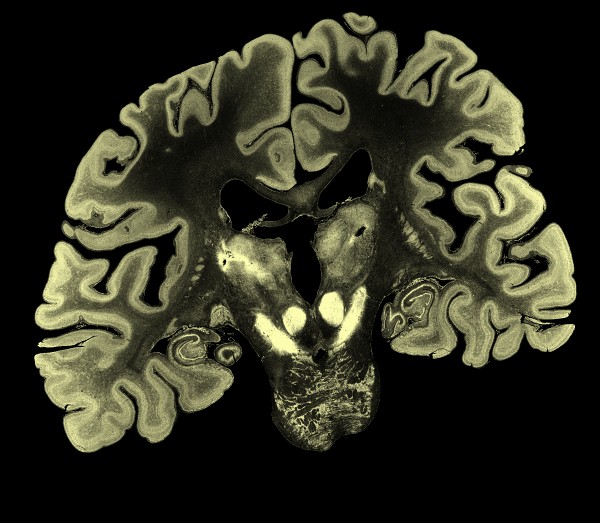
| Preserved human brain, 65-year old female.
| Slices 5 times thinner than sheet of paper.
|
|
|
|
| Brain surface
| Slices (20 um)
| Slice
|
|
|
|
| Neuron trace
| 500 neurons, spread out
| Physiological density.
reset p2 10 hold #2
|
|
|
|
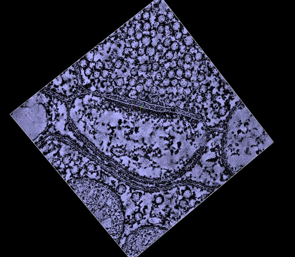
| Electron microscopy, serial block face
| Rat cortex plane
vol #503 planes z,1000,1500
| Synapse tomography
|
|
|
|
| Synaptic vesicles
| Nicotinic acetylcholine receptor
reset p5
| Morph receptor open/closed.
|
|
|
|
| Acetylcholine
| Nicotine
| Krait snake venom
|
Krait snake, 30% fatality rate for untreated bites.
Outline
Show Big Brain human brain imaging data, traced neurons, rat cortex EM, and synapse ion channels.
The aim is to figure out how the brain works? Throw in stereo glasses, space navigator and leap motion
devices for technology interest.
- Show Big Brain 400 um volume surface rendered.
- Move around with space navigator and leap motion. Let everyone try.
Could try track pad too.
- Show ortho-plane slices of 100 um or 400 um brain.
- Show 20 um single plane zoomed in to pixel size.
- Show a traced neuron superimposed on 20 um plane.
- Show 500 traced neurons at 10x normal spacing.
- Show 500 neurons at normal spacing, densely packed.
- Show serial block face em of rat cortex.
- Show tomography of synapse.
- Show AMPA synapse channel (sodium and potassium, gated by glutamate) 3kg2.
- Show nicotinic acetylcholine receptor 2bg9 (5-mer). Receives Neuromuscular signal for contraction.
Channel is opened by acetylcholine from synapse. Also opened by nicotine. Might show both those
molecules (PubChem 187 and 942). Lets positive ions of sodium into cell and positive potassium out of
the cell. Some also allow calcium flow. Snake venom alpha neurotoxins disable this channel paralyzing victim
(1idi, bungarus multicinctus, Taiwanese krait or Chinese krait, 20-40% fatal if bite untreated -- might
show picture).
Also have open/closed structures of receptor 4AQ5, 4AQ9 and morph shows very small motion.
Can see where acetylcholine binds using 1uv6. CCE ligand is similar to acetylcholine.